Zahnversiegelungen

Unsere Zähne werden jeden Tag stark beansprucht. Säure und Zucker reizen den Zahnschmelz und Bakterien haben so ein leichtes Spiel. Dabei sollten wir sie so gut wie es geht vor Bakterien, Karies und anderen Umwelteinflüssen schützen. Eine regelmäßige Prophylaxe ist dabei das A und O. Dazu zählt das zweimal tägliche und gründliche Putzen mit zusätzlicher Nutzung von Mündspülungen und ganz wichtig für die Zahnzwischenräume: Zahnseide und / oder Interdentalbürsten. Für besonders empfindliche Zähne gibt es verschiedene Methoden, die Gesundheit dieser zu schützen. So kann der Zahnarzt die Zähne versiegeln, sodass sie vor Karies und anderen Bakterien geschützt werden.

Was ist eine Zahnversiegelung?

Eine Fissurenversiegelung der Zähne ist eine wirksame Methode, um Zähne vor Karies zu schützen. Dabei sind manche Zähne anfälliger als andere. Backenzähne sind insbesondere aufgrund ihrer großen Kaufläche und Position anfälliger von Karies angegriffen zu werden als Schneidezähne. Denn auch die Reinigung der Zahnoberfläche wie der Außenwände ist durch die Stellung meist komplizierter.

Achtung! Die Zahnversiegelung ist kein Ersatz für die tägliche Mundhygiene!

Wie läuft die Versiegelung ab?

Zunächst einmal werden die Zähne auf ihren Zustand geprüft. Denn nur gesunde Zähne werden versiegelt. Anschließend werden die Zähne gereinigt. Dabei wird hartnäckiger Zahnbelag bzw. Zahnstein abgetragen. Sind die Zähne von Plaque befreit, werden sie getrocknet, damit der Kunststoff besser haften kann. Um die Zähne leicht anzurauen, verwendet nun der Zahnarzt eine spezielle Säure. Zum Schluss werden die Kauflächen, Rillen und Furchen der Zähne mit einer dünnen Schicht aus Kunststoff oder Glasionomerzement überzogen und mit einer speziellen Lampe ausgehärtet. Dadurch werden die für Karies besonders anfälligen Fissuren verschlossen.

Ist die Versiegelung für jeden geeignet?

Nein, eine Versiegelung der Zahnoberfläche kann nicht bei jedem durchgeführt werden. Die Behandlung ist für Kinder und Jugendliche gedacht, die besonders tiefe Fissuren in den Zähnen haben und aufgrund einer genetischen Veranlagung ein erhöhtes Kariesrisiko aufweisen. Bei Erwachsenen wird die Fissurenversiegelung in seltenen Fällen vorgenommen. Ob diese Maßnahme notwendig und sinnvoll ist, entscheidet der Zahnarzt je nach Form und Tiefe der Fissur und Kariesrisiko des Kindes oder Jugendlichen.

Das Versiegeln von Milchzähnen ist in manchen Fällen sinnvoll. So können anfällige Zähne bis zum Zahnwechsel besser erhalten werden. Die Erhaltung der Milchzähne ist wichtig zur Sicherung des Platzes für die bleibenden Zähne und zur Vermeidung von Fehlstellungen.

 

Zahnversiegelung beim Zahnarzt
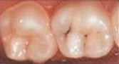
Versiegelter Zahn

 

Wie lange hält die Versiegelung?

Ein genaues Verfallsdatum gibt es nicht. Die Haltbarkeit der Fissurenversiegelung hängt von vielen Faktoren ab. Bei sehr tiefen Fissuren und Furchen kommt es häufig vor, dass sich die Versiegelung schneller ablöst. Durch das Kauen harter Nahrungsmittel kann die Versiegelung schneller abgerieben werden. Eine gründliche und regelmäßige Mundhygiene verlängert die Lebensdauer der Versiegelung. In der Regel hält die Zahnversiegelung aber zwischen 5 und 10 Jahren.

Welche Kosten entstehen?

Die Kosten für die Versiegelung sind abhängig von der Anzahl der zu versiegelnden Zähne wie auch vom Material. Bei Kindern und Jugendlichen im Alter von 6 bis 17 Jahren übernehmen die gesetzlichen Krankenkassen die Kosten für die Zahnversiegelung.

Erwachsene müssen die Kosten meist selbst tragen. Fragen Sie ggf. bei Ihrer Krankenkasse nach. Auch die Zahnzusatzversicherungen übernehmen einen Teil der Kosten für diese Leistung. Lesen Sie am besten in den Versicherungsbedingungen nach, inwieweit die Kosten für eine Zahnversiegelung übernommen werden.

Praxis Haus der Zahnmedizin Braunschweig

Sie haben weitere Fragen zum Thema Versiegelung oder wünschen sich ein persönliches Gespräch zu diesem oder auch anderen zahnmedizinischen Themen? Dann kontaktieren Sie uns gerne. Weitere Informationen zur Prophylaxe und zum Thema Zahnversiegelung finden Sie auch in folgendem PDF von Zahnarzt Dr. Rüffert – Zahnarztpraxis in Braunschweig.

PDF – Prophylaxe